牛皮癣常见的症状是什么
来源:郑州市银屑病研究所日期:2016-10-13点击:
牛皮癣常见的症状是什么?银屑病医院权威专家介绍说,由于牛皮癣的初期表现不怎么明显,因此很多患者总会错过治疗牛皮癣的时间,给患者自身造成了很大的影响。那么,得了牛皮癣常见的症状有哪些?那么下面就让郑州牛皮癣专科医院的专家为我们介绍:

牛皮癣常见的症状是什么
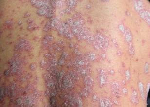
症状1、初发为针头至扁豆大的炎性扁平丘疹,逐渐增大为钱币或更大淡红色浸润斑,境界清楚,上覆多层银白色鳞屑。轻轻刮除表面鳞屑,则霹出一层淡红色发亮的半透明薄膜,称薄膜现象。再刮除薄膜,则出现小出血点,称点状出血现象。
症状2、发展过程中,皮损形态可表现为多种形式。急性期皮损多呈点滴状,鲜红色,瘙痒较著。静止期皮损常为斑块状或地图状等。消退朔皮损常呈环状、半环状。少数皮疹上的鳞屑较厚,有时堆积如壳蛎状。
症状3、皮损可在身体任何部位对称性发生。好发于肘、膝关节伸侧和头部。少数病人指(趾)甲和黏膜亦可被侵。本病急性发作,慢性经过,倾向复发。发病常与季节有关,有夏季增剧,秋冬自愈者;也有冬春复发,入夏减轻者。
症状4、专家指出:银屑病患者继发红皮病者称红皮病型银屑病;皮疹有少量渗液,附有湿性鳞屑。或初起为小脓疱,伴有发热等症状者称为脓疱型银屑病;合并关节病变者称为关节型银屑病。
牛皮癣常见的症状是什么?牛皮癣的病因复杂,常受到生活中其他因素的影响,所以患者一定要注意做好治疗工作,遵守一定的治疗原则,谨防疾病复发。通过以上郑州市银屑病研究所的专家的介绍,希望对患者有帮助,如果患者还有其他问题请与我们的客服联系。
手机版网址:牛皮癣常见的症状是什么
- 上一篇:牛皮癣常见的发病症状
- 下一篇:青少年牛皮癣有哪些症状












