青少年牛皮癣有哪些症状
来源:郑州市银屑病研究所日期:2016-10-17点击:
青少年牛皮癣有哪些症状?牛皮癣是生活中比较常见的皮肤疾病,同时,他们也是不分人群的,很多青少年也患上了牛皮癣,对于青少年来说牛皮癣给他们的影响非常的大,牛皮癣疾病难以治疗但是在早期是可以完全治愈的,很多患者都没有在早期发现,下面由郑州牛皮癣医院的医生为您介绍:
青少年牛皮癣有哪些症状
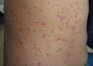
1、青少年银屑病初期发病的时候,银屑病的症状患者身上会长出很小的红疹,随着时间的推移红疹会不断的扩大,有时还会出现更大的淡红色斑块,境界清楚,而且上面还覆盖着多层的银白色鳞屑,如果患者把表面的鳞屑刮除就会出现半透明的薄膜,再除去薄膜就会出现出血症状。
2、青少年患上银屑病的种类是不同的,所以症状也是不同的。青少年患有银屑病早期,所以青少年患上银屑病需要确认好自己患的是哪种银屑病,知道了病种再去进行治疗,这样治疗的效果会更好的。
3、青少年银屑病初期时一般会出现皮肤受损的症状,我们都知道这种病在发病的时候,各个时期的皮损现象是不一样的。青少年患有银屑病早期,如果是急性皮损一般多呈点滴状,颜色为鲜红色,常常伴有瘙痒的情况。如果是静止皮损常常为斑块状。消退期皮损常常呈半环状、环状。如果青少年患者想要知道自己的情况属于哪种,得需要患者仔细的检查清楚。
4、银屑病是不断会扩散的,如果初期时不及时的治疗,很容易就会扩散的全身都是。我们都知道青少年银屑病患者一开始发病的时候都是轻微的,发病范围也是很小的,可是他们不去及时的接受治疗,任其不断的发展,最终病情就会发的越来越严重,这就会造成了治疗的难度。所以青少年患上银屑病的时候需要患者积极的到一些好的医院接受治疗,这样才能尽早的摆脱疾病的困扰,早日的恢复健康的身体。
青少年牛皮癣有哪些症状?温馨提示:青少年患上银屑病的危害性是很大的,所以一定要积极的到医院接受治疗,青少年在了解了银屑病早期的症状表现后就能够及早的发现病情,及时到正规医院接受治疗,这样才能够有效的治愈银屑病。
手机版网址:青少年牛皮癣有哪些症状
- 上一篇:牛皮癣常见的症状是什么
- 下一篇:四种常见的牛皮癣症状是什么













